Dinu & Fagetan
Home
Servicii
Sfaturi Practice
Contact
Servicii
Chirurgie/Implantologie
Extractii dentare
Implantologie, de la refacerea unui singur dinte la punti si proteze pe implante
Rezectii apicale
Premolarizari
Odontectomii
Chistectomii
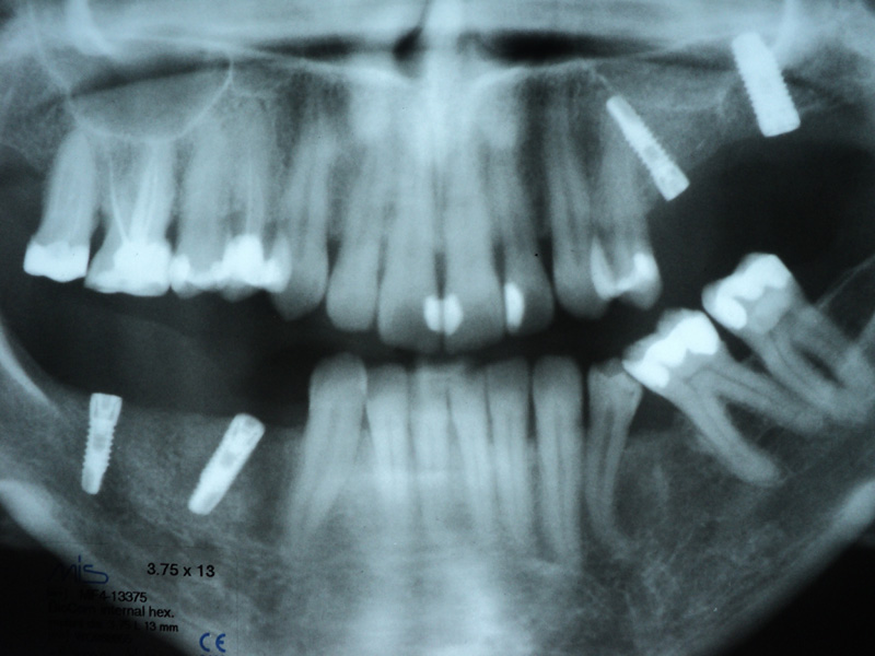
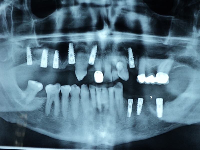
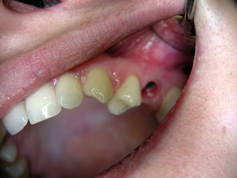
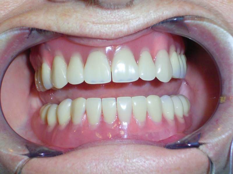
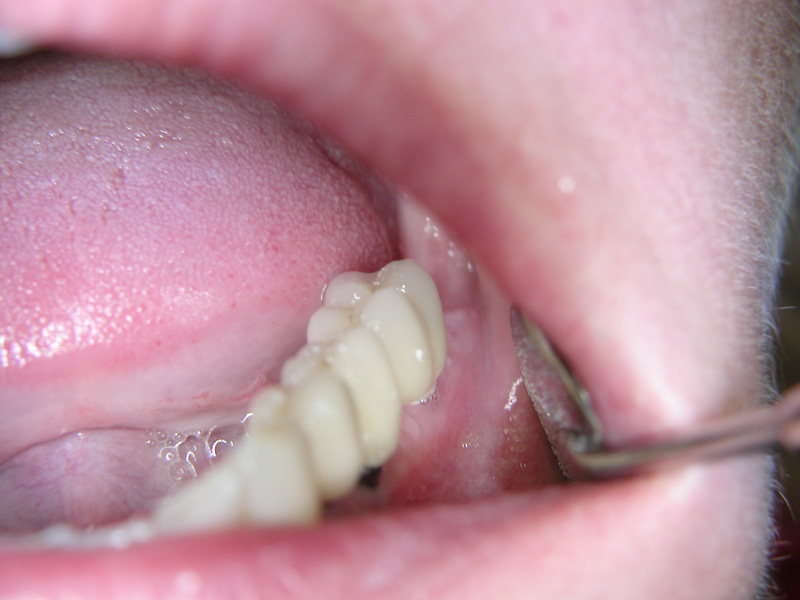
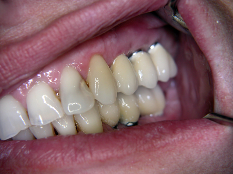
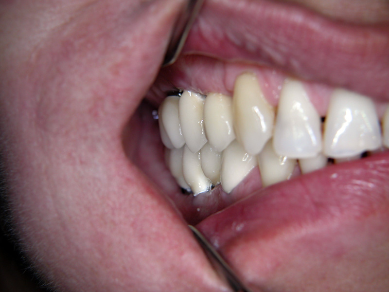
Implante - Galerie Foto
Caz I
Caz II
Caz III
Caz IV
Caz V
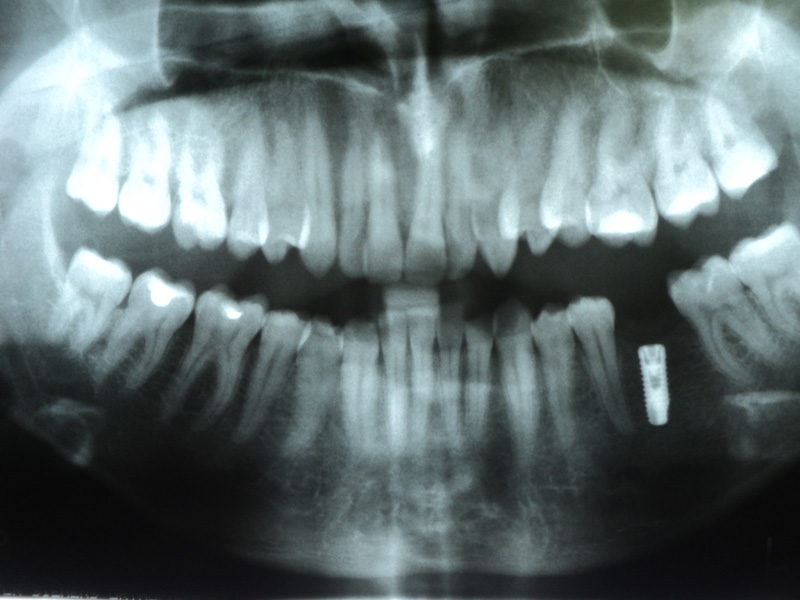
Radio-
grafii
Despre Noi
Chirurgie/Implantologie
Profilaxie
Parodontologie
Estetica Dentara
Odontologie
Protetica