Dinu & Fagetan
Home
Servicii
Sfaturi Practice
Contact
Servicii
Parodontologie
Profilaxia afectiunilor gingivale
Tratamentul gingivitelor si parodontopatiilor
Tratament de echilibrare ocluzala a dintilor parodontotici
Tratamentul chirurgical muco-parodontal
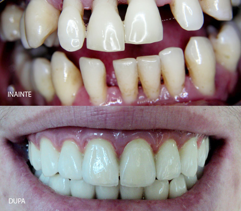
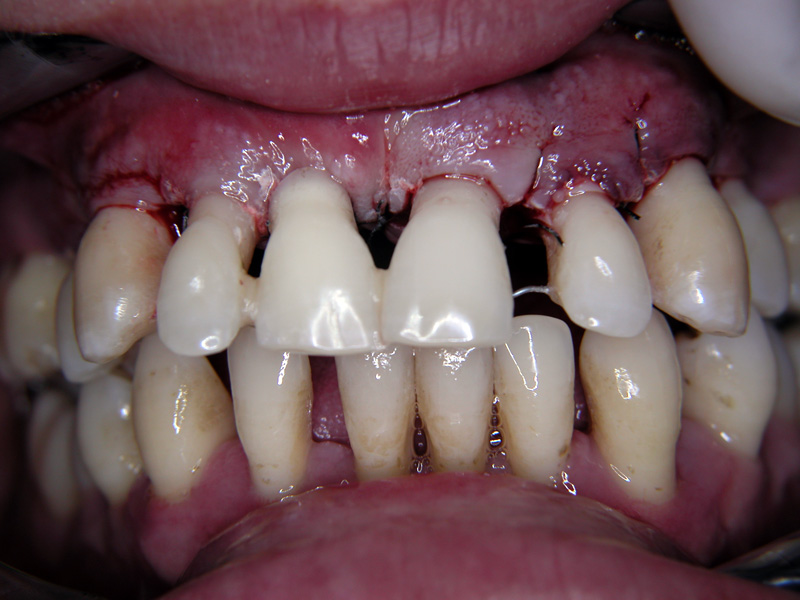
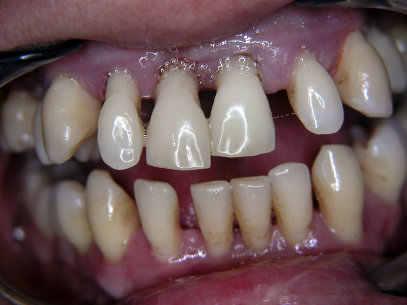
Parodontologie - Galerie Foto
Caz I
Caz II
Despre Noi
Chirurgie/Implantologie
Profilaxie
Parodontologie
Estetica Dentara
Odontologie
Protetica